The lipoprotein LipL32 is the most abundant outer membrane protein found in the outer membrane of pathogenic species of Leptosipra. It's been assumed that LipL32 plays an important role in infections for the following reasons:
- LipL32 is found only in pathogenic species of Leptospira. Nonpathogenic species such as L. biflexa lack the gene encoding LipL32.
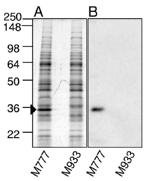
- LipL32 peaks out on the surface of Leptospira, where it is available to interact directly with host molecules.
- LipL32 binds (at least weakly) to several components of the extracellular matrix.
- Leptospirosis patients generate a strong antibody response against LipL32.
- The protein sequence of LipL32 among different species of Leptospira is almost identical.
- A lot of metabolic energy must be expended to make the large amounts of LipL32 found in the spirochete.
The survival curves show that the L. interrogans lipL32 mutant was just as lethal to hamsters as the parent L. interrogans with its lipL32 gene intact, irrespective of the infection route. Hence, lipL32 is not necessary for lethal infections of hamsters, at least under the conditions used in this study.
Rats are the natural reservoir hosts of L. interrogans. They can carry the spirochete for years in their kidney tubules without showing any signs of illness. LipL32 could have a role in chronic infections. The investigators therefore tested the ability of the lipL32 mutant to establish a chronic infection in laboratory rats. They found that the lipL32 mutant (M933) was able to colonize the rat kidneys as well as the control M777 strain. Kidneys from all 8 rats inoculated with the lipL32 mutant were culture positive.
At first glance it's surprising that lipL32 was not required for acute or chronic infection. The authors pointed out that the function of LipL32 could be copied by other proteins found on the surface of Leptospira. However, the study could have been strengthened by making two changes. First, since the authors were trying to determine whether lipL32 was necessary for chronic infection, the rats should have been allowed to live for at least a few months before their kidneys were cultured. Instead, the infection was allowed to proceed for only 15 days before the rats were sacrificed. Second, they should have measured the bacterial load in the rat kidneys, either by plating serial dilutions of the kidney homogenates for colonies (although I don't know if this is feasible for Leptospira) or by quantitative PCR. Clearly, more work needs to be done before anyone can conclude that LipL32 is not essential for chronic infection.
Featured paper
Murray G.L., Srikram, A., Hoke, D.E., Wunder Jr., E.A., Henry, R., Lo, M., Zhang, K., Sermswan, R.W., Ko, A.I., and Adler, B. (March 2009). Major surface protein LipL32 is not required for either acute or chronic infection with Leptospira interrogans. Infection and Immunity 77(3):952-958. DOI: 10.1128/IAI.01370-08
Related posts

